でんわ
076-255-0925

診療時間 平日 9:30〜12:30/15:00〜18:30
土曜日 9:00〜13:00/休診日:水曜・日曜・祝日

HOME > 目周りの整形手術 > 切らない眼瞼下垂

切らない眼瞼下垂手術

MULLER MUSCLE TACKING

切らない眼瞼下垂手術(ミューラー筋タッキング)

眼瞼下垂(腱膜性眼瞼下垂)は加齢やハードコンタクトレンズの使用で瞼の皮膚や筋肉が緩み発症する病気です。症状としては、目の開き辛さ・額のシワ・眉が上がる・目の上が窪む・二重の幅が広がる・黒目が隠れるなどとなります。
重度の場合は、皮膚を切って挙筋腱膜やミューラー筋といった目の開きに関係する筋肉を縫い縮める手術が必要です。
軽度の場合は、結膜側からアプローチし、メスを使わずに糸だけで眼瞼下垂の治療を行うことの出来る経結膜的ミューラー筋タッキング通糸法という切らない手術方法で行えます。
術後の腫れが少ないため、翌日から普通に生活していただけます。
 
このような症状でお困りではありませんか?
→最近、まぶたが重くて目が開きにくい
→夕方になるとおでこに力が入って頭痛がする
→若い頃からハードコンタクトレンズ使っている
→最近偏頭痛・肩こり・眼精疲労がひどくなってきた
→信号機や標識が見にくい
→階段降りる時に足下が見えづらい
 
その症状、腱膜性眼瞼下垂かもしれません。
ぜひ当院でお気軽にご相談ください!

切らない眼瞼下垂手術の適応

  • まぶたが開きにくくなり、視野が狭く感じる
  • 以前のようにパッチリとした目元にしたい
  • 傷を付けずに目力を上げたい
  • あまり目の印象を変えたくない

※重度の眼瞼下垂は適応にならない場合があります。
※見た目の改善目的のみは保険適応外治療となります。
 

施術実績

2025年 10件(4月〜12月集計)

施術の流れ

  1. ①診察
    状態を確認します。記録写真をとります。
  2. ②麻酔
    注射での局所麻酔となります。少しだけ痛みがあります。麻酔後5~10分して施術致します。
  3. ③手術
    10分程度で終了です。
  4. ④抜糸
    抜糸は不要です。

症例写真

モニターさんの治療経過です。

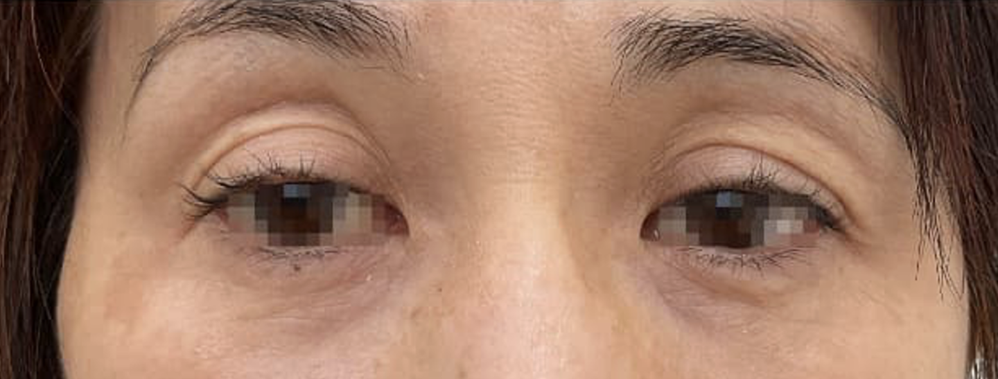
症例1


施術前
 

 


施術1週間後

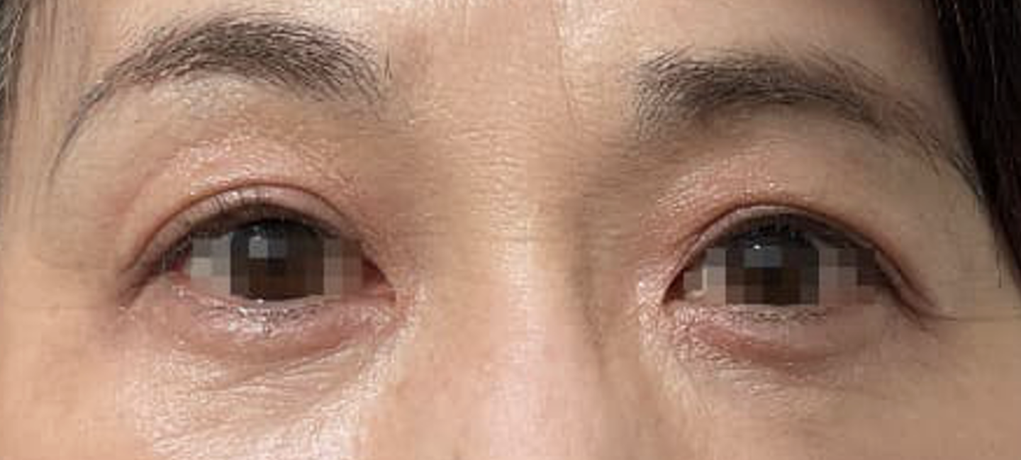
症例2


施術前
 

 


施術1週間後
二重の幅も狭くなり、眼瞼下垂も改善されました。
頭痛や肩こりといった症状も改善されたとのことです。

症例3

切らない眼瞼下垂施術前

施術前
 

 

切らない眼瞼下垂施術後

施術直後
まぶたのくぼみや下垂がなくなり、しっかりと目を開くことができるようになりました。本人の笑顔もとても素敵になっています。

手術料金

保険診療(眼瞼下垂治療目的) 

  • 眼瞼下垂の治療目的の場合保険適用になります。
  • MRD-1測定や眉毛固定テスト、眼瞼下垂に伴う日常生活の障害度をヒアリングして当院医師が保険適応になるか判定します。
  • 下記料金以外にも初診料、再診料、処方料、薬剤料がかかります。
  • クレジットカードをご使用いただけます。

 

片側

1割負担の場合 6,070ー9,010円

3割負担の場合 18,210ー27,050円

両側

1割負担の場合 12,140ー15,080円

3割負担の場合 36,420円ー45,260円

 

自費診療(美容目的) 

クレジットカードをご使用いただけます。
 

初診料

3,300円

再診料

1,100円

片側

110,000円

両側 

198,000円

※表示価格は税込です。
※1年以内であれば無料で再施術致します。

切らない眼瞼下垂手術 留意点

予約の要否 診察予約で予約をお取りになりご来院ください。
手術日 予約可能
手術時間 約10分〜15分
ダウンタイム 1週間~10日程度
抜糸 なし
通院回数 1回
持続性 ★★★
コンタクトレンズ 翌日から装着可
洗顔 手術直後から可能
シャワー 手術当日から可能
入浴 手術翌日から可能
メイク 手術直後から可能

合併症・副作用

腫れ・むくみ

上まぶたに軽い腫れが生じる場合がありますが、1週間ほどで治まります。

目やに

手術翌日から数日の間、目やにが出ることがあります。

内出血

毛細血管に傷がつくと、内出血を起こす場合がありますが1~2週間ほどで治まります。

左右非対称

元々左右対称のお顔の方はいらっしゃらないので、最小限になるよう努力はいたしますが左右差はごくわずかでも生まれてしまうことをご了承ください。

二重幅の狭小化

目が大きくなるため、二重幅が狭くなることがあります。かぶりが大きい場合は眉毛下皮膚切除術で修正可能です。

再発

2割くらいの方は再発する場合があります。1年以内であれば無料で再施術致します(自費手術のみ)。

Q&A

Q. 診察日当日に手術は可能ですか?

A. できる限り当日に手術を行いますが、混雑状況で後日にお願いする場合があります。。診察予約で予約をお取りになり、ご来院ください。

Q. 保険適応になりますか?

A. 健康保険適応には「身体機能に障害があるかどうか」により判定されます。見た目の改善目的である手術は自費診療(保険適応外)をお願いしています。当院ではMRD-1計測や眉毛固定テスト、日常生活への障害度を判定して総合的に保険適応かどうかを判定しています。

Q. 手術は痛いですか?

A. 局所麻酔時に若干痛みがありますが、手術中は痛みはありません。

Q. 手術後は痛いですか?

A. 痛むことはほぼございません。念の為、痛み止めを処方いたします。

Q. 車を運転して帰れますか?

A. はい、可能です。コンタクトをしている方はメガネをお持ちになってご来院ください。

Q. 傷跡は残りますか?

A. 皮膚は切りませんので傷跡は残りません。

Q. 抜糸はしますか?

A. 抜糸は必要ありません。

Q. コンタクトレンズはいつから付けられれますか?

A. 翌日から装着可能です。メガネをお持ちください。

Q. 洗顔はいつからできますか?

A. 手術直後から可能になります。

Q. 入浴やシャワーはいつからできますか?

A. シャワーは手術当日から、入浴は翌日から可能です。

Q. メイクはいつからできますか?

A. 手術直後から可能です。

Q. 元に戻せますか?

A. 手術から日が経っていなければ簡単に戻せます。

Q. 二重になりますか?

A. 二重にはなりません。ご希望されれば埋没法による二重手術も可能です。

Q. 眼瞼下垂ではないですが、目の縦幅を広げるために行うこともできますか?

A. 「目の開きが弱い」という方にも適応となります。また、目の開きが元々強い方もいらっしゃいます。その場合には切らない眼瞼下垂手術の必要はなく埋没法だけで目の開きも強くすることができます。

Q. 眼瞼下垂は左右同時に起こるものですか?

A. 片側だけ起こる場合もあります。また、両目で左右差が出る場合もあります。

Q. 手術後、気をつけることはありますか?

A. 激しい運動や飲酒をすると腫れや内出血が悪化する場合があります。

Q.  眼瞼下垂で困っていますがメスを入れたくありません。この手術で絶対に治りますか?

A. 腱膜性眼瞼下垂症単独なら治療可能ですが、偽性眼瞼下垂症や腱膜性+偽性眼瞼下垂症、先天性眼瞼下垂症等、本治療の適応とならない場合があります。一度ぜひ受診お願いします。

Q. 手術後、今度はまぶたのたるみや奥二重が気になりました。修正してくれますか?

A. 保険適応での手術はあくまで機能改善なので、審美目的では保険適応外治療での対応となります。